ブログBlog

ブログ

ブログ

【症例20】最先端のむし歯治療の考え方

歯科治療について,症例

2026/04/20

おはようございます。
アベニュー歯科クリニック大泉学園の院長の高野です。


予防歯科を治療指針の礎にしていると、患者さんの健康意識が、回を重ねるごとに高まっていくことを歯科医師も衛生士も実感しています。


最近の新しい取り組みの1つに、診療後に患者さんからの声を共有する時間が増やしました。
当院が患者さんの健康に着実に寄与できているのだと、スタッフ一同やりがいを感じられる瞬間です。






「むし歯が気になるから歯医者に行く」
という方にとって、

・最初から削って直す歯医者
原因を探って再発しないようにしてから治す歯医者

どちらが患者さんの幸せに貢献できるでしょうか。



当院は後者です。

今日はその実例を最新の知見とともにご紹介します。


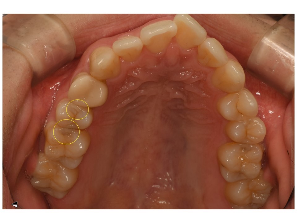
黄色の〇の場所にむし歯があります。

レントゲンを撮影します。
当院ではデンタル14枚法に加えて、咬翼法も併用して、
読影の精度を高めて、治療方法の根拠をお示ししています。

黄色〇のほかに、白い〇のところにもう蝕が確認されました。

こちらは現時点で基準以下の大きさと判断して、切削治療を選択しました。
前回の症例報告でも書いた通り、非切削治療は予防歯科ならではの、重要なポイントになります。




非切削治療を成功させるため
予め検査で把握したリスクに対して、最適な口腔衛生指導を余すことなく衛生士が伝えていきます。

ときどき、
「治療に入る前の初期治療の間で、むし歯が進行してしまうのではないか」
と心配に思う声が聞かれる時があります。


むし歯がある、とわかると気になってしまったり、すぐ直してほしくなったりするものですよね。





ですが、
『その心配は無用です』




口腔内環境を整えることで、唾液が持っている再石灰化する力を引き出しているからです。
無機質が溶出してしまったう蝕の部分は、再石灰化で回復する可能性があります。

穴の開いてしまった、つまり、う窩になってしまった部分だけを処置できれば、切削する部分を最小限にできることすら期待できます。

さらに、衛生士さんが初期治療の間、ずっと伴走してくれています。
状態を管理し続けてくれているので、安心なんですね。




急いで削る方が歯を減らしてしまう、ということを改めてお伝えしたいと思います。






むし歯の処置はもちろん、
むし歯にならないお口の中を一緒に作りたい。



これからも、私たちは健康になりたい皆さまを全力でサポートして参ります。

練馬区のかかりつけ歯科医として、土曜日も診療しております。
小児歯科、一般歯科、矯正歯科、口腔外科、訪問歯科、予防歯科、
歯・歯ぐきの悩み、入れ歯の不具合、インプラント、
飲みこみの悩み(障害)は、アベニュー歯科クリニック大泉学園にご相談ください。

東京都練馬区の歯科医院
アベニュー歯科クリニック大泉学園

住所
東京都練馬区東大泉6丁目47-12
診療時間
午前 9:00 - 13:00
午後 14:30 - 18:00
- 18:30(水曜日のみ)
休診日
日曜 祝日
最寄駅
大泉学園駅
電話番号
03-5935-7555

戻る

あなたへのおすすめ記事

アベニュー歯科クリニック

一般歯科をはじめ小児歯科、予防歯科、義歯、インプラント、美容歯科、セレック、矯正歯科など、幅広い診療に対応

お問い合わせ・予約受付
TEL03-5935-7555

アベニュー歯科クリニック

診療時間
9:00 - 13:00 /
14:30 - 18:00 /

休診:日曜・祝日