| 診療時間 | 月 | 火 | 水 | 木 | 金 | 土 | 日 |
|---|---|---|---|---|---|---|---|
| 9:00 - 13:00 | ● | ● | ● | ● | ● | ● | / |
| 14:30 - 18:00 | ● | ● | ● | ● | ● | ● | / |
休診 日曜・祝日

一般歯科/予防歯科/小児歯科/インプラント/ セレック/マイクロエンド
矯正歯科 /美容歯科 / 訪問歯科
| 診療時間 | 月 | 火 | 水 | 木 | 金 | 土 | 日 |
|---|---|---|---|---|---|---|---|
| 9:00 - 13:00 | ● | ● | ● | ● | ● | ● | / |
| 14:30 - 18:00 | ● | ● | ● | ● | ● | ● | / |
休診 日曜・祝日

保険・自費どちらもご利用可能です

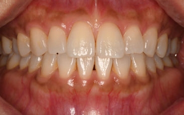
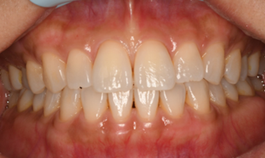
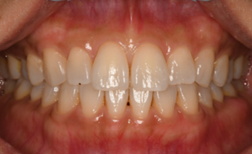
症例
2025/11/22





東京都練馬区の歯科医院
アベニュー歯科クリニック大泉学園




一般歯科をはじめ小児歯科、予防歯科、義歯、インプラント、美容歯科、セレック、矯正歯科など、幅広い診療に対応

| 診療時間 | 月 | 火 | 水 | 木 | 金 | 土 | 日 |
|---|---|---|---|---|---|---|---|
| 9:00 - 13:00 | ● | ● | ● | ● | ● | ● | / |
| 14:30 - 18:00 | ● | ● | ● | ● | ● | ● | / |
休診:日曜・祝日